WDC: Transition to adult diabetes care is tough on kidsDecember 2, 2015DiabetesPediatricsEndocrinology
Glial fibrillary acidic protein may help identify youth with TBINovember 18, 2015ImagingMental HealthPediatricsNeurologyTrauma
PICC dwell time not linked to bloodstream infection riskNovember 16, 2015PediatricsInfectious Diseases
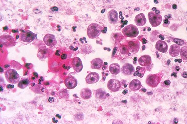
Early diagnosis of primary amebic meningoencephalitis key to treatmentNovember 5, 2015Infectious DiseasesPediatrics
AHA releases first-ever pediatric pulmonary hypertension guidelineNovember 3, 2015PediatricsCardiologyPulmonology
Pediatric pertussis tied to minor elevation in epilepsy riskNovember 3, 2015Infectious DiseasesPediatricsMental HealthNeurologyPulmonology
Case reports: Ingestion of aripiprazole precedes false positives for amphetamine useNovember 2, 2015Pediatrics
Impact of health care–associated meningitis or ventriculitis spotlightedOctober 29, 2015Infectious DiseasesPediatricsNeurology
IDWeek: EV-D68 found more virulent but not more deadly in childrenOctober 25, 2015Infectious DiseasesPediatricsPulmonology
No flu vaccine for patients with egg allergy?October 22, 2015Infectious DiseasesPediatricsPulmonology
Palivizumab cut odds of RSV hospitalization, belying AAP recommendationsOctober 21, 2015PediatricsInfectious DiseasesPulmonology