ADVERTISEMENT

Obstacles Block the Way to Formulating a Creative Plan

Author and Disclosure Information

Mrs. Jones is a 71-year-old woman with a history of breast cancer whose husband reports has had fluctuating confusion for the past 3 months. On exam, she is aphasic and has multifocal myoclonus. What is her diagnosis and how shall we treat her?

In formulating a plan to diagnose and treat her, which is in itself a creative endeavor, we compile and integrate relevant information from within ourselves (our current biological state, our perceived needs) and from without (the state of the environment, opportunities, risks, and so forth), and navigate a series of decisions about various strategic options. There are many reasons we can fail, including incomplete knowledge and, of course, the many forms of brain disease that impair our cognitive abilities. But miscalculations can occur even in the absence of such a disorder, and anyone who has struggled for diagnostic and therapeutic insights in a difficult patient can appreciate what failure feels like.

©2005 Society of Biological Psychiatry. Published by Elsevier Inc. All rights reserved.
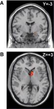
In a task of deciding if an object could be mentally rotated to match another object exactly, only the right amygdala (A) and the right caudate (B) showed greater activity when participants' answers went against a group of individuals who gave incorrect answers, compared with going against computers that gave incorrect answers.

How do we decide on a way forward – what choices to make and what actions to avoid? Within ourselves, decision making is brokered by two systems: the mesolimbic reward system (mesolimbic dopaminergic pathway of ventral striatum, orbitofrontal cortex [OFC], and anterior cingulate) and the dorsolateral frontoparietal network. With cognitively complex long-term decisions (for example, the decision to become a neurologist), we rely more upon the cognitive dorsolateral frontoparietal network and less upon the immediate, reward-driven mesolimbic structures. With short term decisions, however the opposite is found. Impatient behavior involving a short-term goal may intrude during the time needed to realize the long-term goal (Science 2004;306:503-7).

The tradeoff between the immediate satisfaction of a short-term goal and the greater payoff of a delayed reward is measured in "temporal discounting." Given the choice between a candy bar now and a week from now, we would always elect for it now. After all, why wait? To reach the same level of desire for a candy bar now, we would have to expect to receive 10 candy bars a week from now. That reduced drive offset by the greater cost is temporal discounting. Temporal discounting of reward in animals and humans follows a hyperbolic pattern with steeper decline earlier and less steep decline later. Three factors that affect our ability to make and realize long-term decisions are:

• Anticipation, the period of expecting an adverse outcome is itself aversive and, consequently, some would rather get it done sooner and avoid that, even at the cost of incurring a larger penalty.

• Self-control, the initial far-sighted decision must withstand the short-run temptations for immediate reward that are counter to the long-term plan.

• Representation, that is, how we frame the situation will affect how we choose to respond to it (Trends Cog. Sci. 2007;11:482-8).

Threats to our long-term goals can derive from any of these. For example, our weight-loss plan is undermined by people eating at work; our plan to stop using alcohol fails when framed as what the in-crowd is doing; and our plan to save for the future is undermined by the effect of a new sports car on our self-image. Mesolimbic dopaminergic reward systems seem to be maximally activated by highly salient choices involving an immediate outcome, and often missing from our otherwise well formulated action plans are ways of preventing such short term temptation.

Besides temptation, there are other ways in which our decisions and formulations can be tangibly influenced by others. Members of society necessarily subjugate their will to that of the majority. Generally, that is good because statistically, a group of individuals is more likely to make a better decision than a single individual. However, group superiority is undermined when individuals within the group influence or bias one another so that it is no longer a balanced group but one dominated by a small subset of individuals.

Our judgments are influenced by what we perceive, but factors such as categorization and social class can also influence what we perceive. Even something as simple as judging the relative length of a line can be influenced by peer pressure. In one such study, the "unpressured" baseline rate of error in judging the equivalency of rotated three-dimensional shapes was 13.8%. However, when four other peers all gave a deliberately incorrect response, the "pressured" error rate increased to 41%. When a computer, rather than human peers, gave deliberately wrong answers, the "pressured" error rate was 32%. Rather than being associated with activation of prefrontal areas as might be expected if this were based upon conscious decision making, it was instead associated with activation of sensory (occipitoparietal) and emotional (amygdala and caudate) regions suggesting that conformity is effected through a change in perception, and when that occurs in a social (but not in a computer) situation, it is aversive to the participant (Biol. Psychiatry 2005;58:245-53).