Internal Medicine NewsInvestigational agent could accurately predict memory declineAugust 14, 2014GeriatricsNeurologyAlzheimer's & Cognition
Internal Medicine NewsEvidence-based guideline: assessment and management of psychiatric disorders in individuals with MS. Report of the Guideline Development Subcommittee of the American Academy of NeurologyAugust 13, 2014NeurologyCardiology
Internal Medicine NewsTwin study confirmed genetic basis of several epilepsy syndromesAugust 12, 2014Neurology
Internal Medicine NewsSummary of evidence-based guideline: complementary and alternative medicine in multiple sclerosis. Report of the Guideline Development Subcommittee of the American Academy of NeurologyAugust 12, 2014Neurology
Internal Medicine NewsClinical policy: critical issues in the evaluation and management of adult patients presenting to the emergency department with seizuresAugust 11, 2014NeurologyMental Health
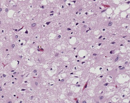
Internal Medicine NewsNew Creutzfeldt-Jakob disease tests have high sensitivities, specificitiesAugust 6, 2014Alzheimer's & CognitionInfectious DiseasesNeurologyRare Diseases
Internal Medicine NewsTDP-43 could be potential new biomarker for Alzheimer’s diseaseAugust 6, 2014GeriatricsNeurologyAlzheimer's & Cognition
Internal Medicine NewsMutations identified for phenytoin-related severe skin reactionsAugust 5, 2014DermatologyCritical CareNeurology
Internal Medicine NewsWidowhood paradoxically does not increase risk of dementia in older adultsAugust 4, 2014GeriatricsNeurologyAlzheimer's & Cognition
Internal Medicine NewsMS brain lesions appear identical to those for optic neuropathy associated with MSJuly 30, 2014Neurology
Internal Medicine NewsMeasures of lesion volume and brain atrophy predicted outcomes in early MSJuly 30, 2014Neurology
Internal Medicine NewsAcetaminophen no better than placebo for acute low back painJuly 30, 2014PainRheumatologyNeurology
Internal Medicine NewsNew bill aims to decriminalize cannabidiol oil and therapeutic hempJuly 29, 2014Neurology
Internal Medicine NewsFDA approves opioid tablet designed to deter abuse if crushedJuly 24, 2014PainNeurologyAddiction Medicine