Following the Hyperkalemia Trail: A Case Report of ECG Changes and Treatment ResponsesDecember 15, 2025NephrologyCardiology
Gadolinium Intermediate Elimination and Persistent Symptoms After Magnetic Resonance Imaging Contrast Agent ExposureNovember 24, 2025Nephrology
A Case Report of Unanticipated Difficult Intubation Due to Posterior Tracheal AngulationOctober 14, 2025
Unique Presentation of Postpartum Hypereosinophilic Syndrome With Atypical Features and Therapeutic ChallengesSeptember 5, 2025Women's Health
Case Presentation: First Ever VA "Bloodless" Autologous Stem Cell Transplant Was a SuccessAugust 28, 2025Conference CoverageOncologyMultiple Myeloma
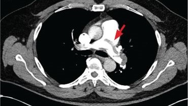
The Need for a Multidisciplinary Approach for Successful High-Risk Pulmonary Embolism TreatmentApril 8, 2025
Importance of Recognizing Hypertrophic Cardiomyopathy in the Preoperative ClinicApril 8, 2025Cardiology
Statin-Induced Necrotizing Autoimmune Myopathy in a Patient With Complex Diabetes ManagementApril 7, 2025Diabetes
A Candida Glabrata-Associated Prosthetic Joint Infection: Case Report and Literature ReviewMarch 12, 2025OrthopedicsMixed Topics