Article
Pneumonia Guideline Therapy Outcomes
- Author:
- Samir S. Shah, MD, MSCE
Publish date: September 27, 2014
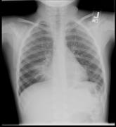
Article

Radiographs Predict Pneumonia Severity
- Author:
- Samir S. Shah, MD, MSCE
Publish date: June 18, 2014
Article
Hospital to Home Transitions
- Author:
- Samir S. Shah, MD, MSCE
Publish date: February 25, 2014
Article

Chest Radiograph Interpretation
- Author:
- Samir S. Shah, MD, MSCE
Publish date: November 26, 2012
Article
Discordant Antibiotics in Pediatric UTI
- Author:
- Samir S. Shah, MD, MSCE
Publish date: July 25, 2012
Article

Pediatric Observation Status Stays
- Author:
- Samir S. Shah, MD, MSCE
Publish date: February 27, 2012
Article

Correction of CSF Protein
- Author:
- Samir S. Shah, MD, MSCE
Publish date: February 27, 2012
Article
Macrolides for Mycoplasmal Pneumonia
- Author:
- Samir S. Shah, MD, MSCE
Publish date: January 23, 2012
Article

Observation Care in Children's Hospitals
- Author:
- Samir S. Shah, MD, MSCE
Publish date: October 26, 2011
Article

Reliability of CXR for Pneumonia
- Author:
- Samir S. Shah, MD, MSCE
Publish date: October 18, 2011
Article

Diagnosis of Complicated Pneumonia
- Author:
- Samir S. Shah, MD, MSCE
Publish date: October 12, 2011
Article
Insurance and LOS for Children With CAP
- Author:
- Samir S. Shah, MD, MSCE
Publish date: October 3, 2011
Article

Addressing Inpatient Crowding
- Author:
- Samir S. Shah, MD, MSCE
Publish date: May 24, 2011
Article

Treatment of Complicated Pneumonia
- Author:
- Samir S. Shah, MD, MSCE
Publish date: March 3, 2011
Article

Resource Utilization in Bacterial Meningitis
- Author:
- Samir S. Shah, MD, MSCE
Publish date: August 23, 2010