News

Obstacles plague prenatal cell-free DNA testing use
- Author:
- Kari Oakes
Publish date: April 13, 2017
News

Infants’ head circumference larger with PCOS moms on metformin
- Author:
- Kari Oakes
Publish date: April 9, 2017
News
Three factors linked to rhinovirus pneumonia in HCT patients
- Author:
- Kari Oakes
Publish date: April 8, 2017
News

Off-the-shelf T cells an option for post-HCT viral infections
- Author:
- Kari Oakes
Publish date: April 5, 2017
News

Bioidentical hormone replacement fares well in phase III trial
- Author:
- Kari Oakes
Publish date: April 4, 2017
News

In type 2 diabetes, chronotype may affect depressive symptoms
- Author:
- Kari Oakes
Publish date: April 2, 2017
Video

VIDEO: When early-stage vulvar cancer recurs, the prognosis is poor
- Author:
- Kari Oakes
Publish date: March 30, 2017
Video

VIDEO: How to start an oncology sexual health clinic
- Author:
- Kari Oakes
Publish date: March 30, 2017
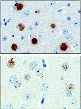
News

Novel protein biomarker could accelerate ALS research
- Author:
- Kari Oakes
Publish date: March 30, 2017
Video

VIDEO: Sex, intimacy part of history in gynecologic oncology care
- Author:
- Kari Oakes
Publish date: March 30, 2017
Video

Video: Try ‘PLISSIT’ to address postcancer sexual health
- Author:
- Kari Oakes
Publish date: March 30, 2017
Video

VIDEO: Pain and impaired QOL persist after open endometrial cancer surgery
- Author:
- Kari Oakes
Publish date: March 24, 2017
Video

Parental reasons for HPV nonvaccination are shifting
- Author:
- Kari Oakes
Publish date: March 16, 2017
News
Maintenance taxane therapy of no benefit in advanced ovarian cancer
- Author:
- Kari Oakes
Publish date: March 16, 2017
News
Auto-HCT patients run high risks for myeloid neoplasms
- Author:
- Kari Oakes
Publish date: March 16, 2017