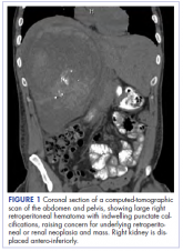
ArticlePrimary renal synovial sarcoma – a diagnostic dilemmaAuthor:Yellala et alPublish date: October 28, 2018 Read More