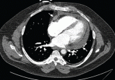
ArticleCardiac tamponade: 12 pearls in diagnosis and managementAuthor:William A. Schiavone, DO, FACCPublish date: February 1, 2013Tamponade shares symptoms and signs with other, more common diseases. Consider it when the patient has chest trauma or a chronic medical illness th...Read More