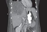
Article

Pyogenic liver abscess
- Author:
- Victor Hajjar, MD
Publish date: July 1, 2010
Article
Does vitamin D deficiency play a role in the pathogenesis of chronic heart failure? Do supplements improve survival?
- Author:
- Victor Hajjar, MD
Publish date: May 1, 2010
Article
Does measuring natriuretic peptides have a role in patients with chronic kidney disease?
- Author:
- Victor Hajjar, MD
Publish date: August 1, 2009