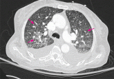
ArticleDiffuse reticulonodular infiltratesAuthor:Vicente Jose M. Velez, MD, FACPPublish date: January 1, 2012A 69-year-old woman has fever of unknown origin and dyspnea. Her past provides a clue to the diagnosis.Read More