Vance Cao
search
All Specialties
CME Events
REGISTER or LOGIN
/
Vance Cao
search
ADVERTISEMENT
Vance Cao
Article
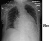
Myocardial Calcification in ESRD
Author:
Vance Cao
Publish date:
August 10, 2009
Read More