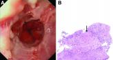
ArticleMarch 2021 - What's your diagnosis?Author:Thomas P. Chapman, DPhilPublish date: February 26, 2021A 49-year-old man presented with symptoms of retrosternal discomfort and mild dysphagia to solids.Read More