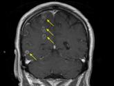
ArticleBrain abscesses in a 60-year-old manAuthor:Stella Pak, MDPublish date: September 4, 2018The lesions were not from compromised immunity, but from septic hematogenous spread of an odontogenic infection.Read More