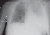
ArticlePleural effusion from a candy wrapperAuthor:Smyrna Abou Antoun, MDPublish date: November 1, 2009A 60-year-old man presents with worsening shortness of breath and productive cough. Flexible bronchoscopy reveals the surprising cause.Read More