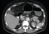
ArticleBilateral adrenal massesAuthor:Sima Saberi, MDPublish date: December 1, 2012In a woman with a thrombus in the aorta, imaging reveals bilateral high-density adrenal masses. What is the diagnosis?Read More