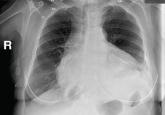
ArticleAn alerting sign: Enlarged cardiac silhouetteAuthor:Shemy Carrasso, MDPublish date: December 1, 2015Suspect pericardial effusion in patients with symptoms of impaired cardiac function and new symmetric cardiomegaly.Read More