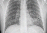
ArticleA 37-year-old man with a chronic coughAuthor:Sandeep M. Patel, MDPublish date: February 1, 2012When asked, he revealed that he had been diagnosed with human immunodeficiency virus infection but had not been taking his medication.Read More