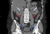
ArticleEmphysematous cystitisAuthor:Sammy Nassri, MDPublish date: January 3, 2019The patient had fallen in her home and remained on the floor for 2 days until neighbors heard her cries and called 911.Read More