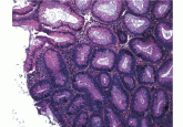
ArticleSessile serrated polyps: Cancer risk and appropriate surveillanceAuthor:Rish K. Pai, MD, PhDPublish date: December 1, 2012The serrated polyp pathway is different than the pathway for conventional adenomas. What does finding these polyps on colonoscopy mean for patient ...Read More