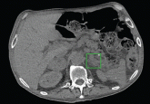
ArticleA 61-year-old man with fluctuating hypertensionAuthor:Razvan Chirila, MDPublish date: November 1, 2014In this patient with diabetes, an episode of hypoglycemia led to an unexpected discovery.Read More