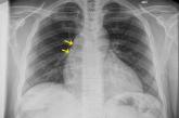
Article20-year-old man • sudden-onset chest pain • worsening pain with cough and exertion • Dx?Author:Rachel M. Coleman, MD, FAAPPublish date: January 21, 2021► Sudden-onset chest pain► Worsening pain with cough and exertion► No improvement with naproxenRead More