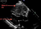
ArticleA large mass in the right ventricle: Tumor or thrombus?Author:Pradhum Ram, MDPublish date: July 1, 2017A 69-year-old woman with ovarian cancer presents with worsening dyspnea, lower-extremity edema, and dizziness.Read More