Article

Radon and lung cancer: Assessing and mitigating the risk
- Author:
- Peter Mazzone, MD, MPH, FCCP
Publish date: September 1, 2014
Article
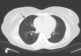
Lung cancer screening: Examining the issues
- Author:
- Peter Mazzone, MD, MPH, FCCP
Publish date: May 1, 2012
Article
Preoperative evaluation of the lung resection candidate
- Author:
- Peter Mazzone, MD, MPH, FCCP
Publish date: May 1, 2012
Article

The rationale for, and design of, a lung cancer screening program
- Author:
- Peter Mazzone, MD, MPH, FCCP
Publish date: May 1, 2012
Article
A 47-year-old man with headache and ptosis
- Author:
- Peter Mazzone, MD, MPH, FCCP
Publish date: March 1, 1999
Article
A 61-year-old woman with edema, shortness of breath, and pleuritic chest pain
- Author:
- Peter Mazzone, MD, MPH, FCCP
Publish date: June 1, 1998