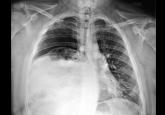
ArticleEventration of the diaphragm presenting as spontaneous pneumothoraxAuthor:Pauline Go, MDPublish date: January 1, 2016A 25-year-old man presents with the sudden onset of right-sided back and chest pain and shortness of breath.Read More