Quiz

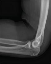
A Different Source of Elbow Pain
- Author:
- Nandan Hichkad, PA-C, MMSc
Publish date: August 2, 2013
Quiz

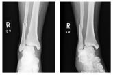
Woman with Severe Ankle Pain After Fall
- Author:
- Nandan Hichkad, PA-C, MMSc
Publish date: February 1, 2011
Quiz

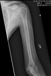
Shoulder Pain in Man Hospitalized for Brain Mass
- Author:
- Nandan Hichkad, PA-C, MMSc
Publish date: January 1, 2011
Quiz

Man with Decreasing Consciousness and Increasing Confusion
- Author:
- Nandan Hichkad, PA-C, MMSc
Publish date: December 1, 2010