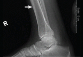
ArticleJoint pain in a man with lung cancer Author:Nadia Siddiqi, DOPublish date: January 1, 2015Hypertrophic pulmonary osteoarthropathy is characterized by proliferation of the skin and periosteal formation of new bone.Read More