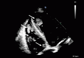
ArticleMultiple intracardiac thrombiAuthor:Nabil S. Zeineh, MDPublish date: July 1, 2013A 60-year-old woman presents with massive venous thrombosis. What is the cause?Read More