Molly James, BS, MS
search
All Specialties
CME Events
REGISTER or LOGIN
/
Molly James, BS, MS
search
ADVERTISEMENT
Molly James, BS, MS
Article
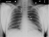
Spontaneous Pneumomediastinum
Author:
Molly James, BS, MS
Publish date:
August 17, 2007
Read More