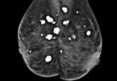
ArticleBreast calcifications mimicking pulmonary nodulesAuthor:Moiz Salahuddin, MDPublish date: August 1, 2017Radiography suggested the lesions were in the lungs, but CT and mammography said otherwise.Read More
ArticleAn abnormal peripheral blood smear and altered mental statusAuthor:Moiz Salahuddin, MDPublish date: September 1, 2016Therapeutic plasma exchange has greatly increased the survival rate in thrombotic thrombocytopenic purpura.Read More