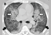
ArticleAlveolar proteinosis: A slow drowning in mudAuthor:Mohammed H. Alshati, MDPublish date: August 1, 2014The patient improved markedly after whole-lung lavage and has had no recurrence at 1 year.Read More