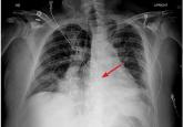
ArticleDancing sternal wires: A radiologic sign of sternal dehiscenceAuthor:Mohamed M. Gad, MDPublish date: February 1, 2019Loose fragments of bone and wire pose a danger of puncturing the heart, making sternal dehiscence a surgical emergency.Read More