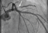
ArticleA rare complication of infective endocarditisAuthor:Megan J. DeKam, DOPublish date: May 1, 2010An 85-year-old woman presents with a 2-hour history of dyspnea, dizziness, generalized weakness, nausea, and diaphoresis. What is the cause?Read More