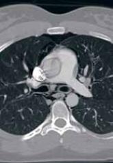
ArticleCase Report: Sudden Chest Pain Following an Asthma AttackAuthor:Major Christopher M. Howell, DSc, MPAS, PA-C, MBAPublish date: May 1, 2015 A 20-year-old woman who smokes cigarettes and has a history of childhood asthma presented with symptoms of an upper respiratory infection and diff...Read More