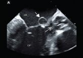
ArticleFever, dyspnea, and a new heart murmurAuthor:Lee Fong Ling, MBBS, MMedPublish date: September 1, 2013In cases of recurrent persistent fever and a new heart murmur, infective endocarditis must always be considered.Read More