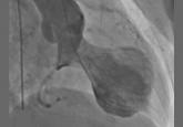
ArticleThis is not an acute coronary syndromeAuthor:Lawrence J. Sinak, MDPublish date: May 1, 2016Stress cardiomyopathy—broken heart syndrome—typically affects older women exposed to a stressful life event.Read More