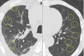
ArticleDrug reaction or metastatic lung cancer?Author:Kazuyoshi Kuwano, MD, PhDPublish date: December 1, 2017Imaging shows nodules randomly distributed throughout both lungs, a paradoxical reaction to drug therapy.Read More