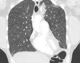
ArticleLung complications of prescription drug abuseAuthor:Josiah D. McCain, MDPublish date: December 3, 2018Opioid tables crushed, then injected intravenouslyRead More