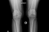
ArticleAtypical knee painAuthor:Joseph M. Schwab, MDPublish date: May 10, 2022The patient found it hard to climb stairs—and to complete a particular task when getting dressed. Difficulty with that task provided a useful diagn...Read More