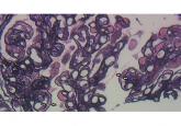
ArticleRenal failure in HCV cirrhosisAuthor:Imara Dissanayake, MD, FACPPublish date: August 1, 2016The patient was diagnosed with hepatitis C 15 years ago; now, his kidneys are failing.Read More