Hanan Atia, MD
search
All Specialties
CME Events
REGISTER or LOGIN
/
Hanan Atia, MD
search
ADVERTISEMENT
Hanan Atia, MD
Article
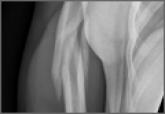
Thrower’s Fracture of the Humerus
Author:
Hanan Atia, MD
Publish date:
May 4, 2016
Read More