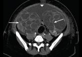
ArticleOvarian hyperstimulation syndrome as a complication of molar pregnancyAuthor:Gerald Behr, MDPublish date: July 1, 2016An 18-year-old woman, 14 weeks pregnant, presented with bleeding, cramping, and a fundal height of 23 cm.Read More