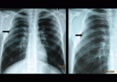
ArticleBony bridge of a bifid ribAuthor:Gaye UlubayPublish date: April 1, 2010A 21-year-old man presents with 3 days of cough and hemoptysis. A chest x-ray reveals a congenital anomaly.Read More