Farrah Ibrahim, MD
search
All Specialties
CME Events
REGISTER or LOGIN
/
Farrah Ibrahim, MD
search
ADVERTISEMENT
Farrah Ibrahim, MD
Article
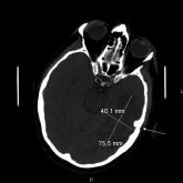
Malignant Otitis Externa
Author:
Farrah Ibrahim, MD
Publish date:
July 13, 2010
Read More