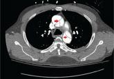
ArticleAortic dissection presenting as ischemic limbAuthor:Faiza Khalid, MDPublish date: June 1, 2018With surgical repair and blood pressure control, the patient recovered and left the hospital 1 week later.Read More