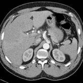
ArticleDissection of the Celiac ArteryAuthor:Eric Iheme, MDPublish date: January 10, 2017A 41-year-old man presented to the ED with a 4-day history of epigastric pain...Read More