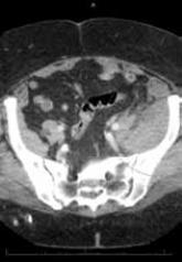
ArticleCase Report: Spontaneous Retroperitoneal Bleeding Masking as Left Lower Quadrant Abdominal PainAuthor:Edwin Lui, DOPublish date: April 1, 2015 A rare but serious condition, spontaneous retroperitoneal bleeding often presents with a variety of nonspecific symptoms, which in the absence of ...Read More