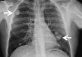
ArticleA farmer with chest pain and lung nodulesAuthor:David Esteva Fernández, MDPublish date: July 1, 2012The patient, age 50, was treated 25 years ago for brucellosis. But he is also a 30-pack-year smoker. What does he have?Read More