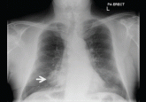
ArticleA 78-year-old smoker with an incidental pulmonary massAuthor:Charlotte Cash, FRCRPublish date: August 1, 2014His age, smoking history, and findings on radiography raised the concern of lung cancer.Read More