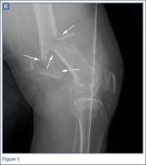
ArticleEmergency ImagingAuthor:Calvin Sy,mdPublish date: September 1, 2015 A 45-year-old man presented with severe left leg pain and deformity after being struck by a car while driving his moped. Read More