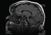
ArticleA 60-year-old man with forehead swellingAuthor:Brandon Miller, MDPublish date: February 1, 2016CT and MRI revealed infection in close proximity to the brain. The patient recovered with antibiotics and surgery.Read More